50岁男子心脏直径接近20厘米,状如篮球塞满整个胸腔,严重挤压双肺等脏器,心功能严重受损随时都有生命危险……
这样的病例在全国都是罕见。近日,阜外华中心血管病医院心外科主任医师权晓强等专家实施“缩心术”等一系列高难度手术,使患者心脏功能得以重启。

这位患者姓李,来自周口市。3个月前,李先生活动后突然出现头晕、头痛等症状,还常常恶心、呕吐。近一个月来,症状明显加重。李先生马上意识到,身体可能出大问题了,于是赶紧到周口市某医院就诊。做完相关检查后,还真发现了大问题。
检查报告显示,李先生的心脏非常糟糕,不但有心律失常,而且还有二尖瓣狭窄伴重度关闭不全、三尖瓣返流(重度)、肺动脉高压(重度)、右心及左房增大、右心功能测值减低等问题。
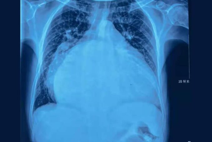
患者病情严重,当地医院无法救治,建议转到阜外华中心血管病医院。心外科权晓强主任医师接诊后,完善相关检查,当他拿到李先生的胸片后,简直不敢相信自己的眼睛:整个胸腔,全是心脏!

“这就是‘篮球心’,心功能很差,必须尽快手术!”权晓强主任医师说道。可是,要想手术谈何容易,患者的心脏问题太复杂,不但有瓣膜问题、心律失常问题,还有重度肺动脉高压,这一项可是手术的禁忌症。以李先生这样的瓣膜病,外科手术是最佳治疗选择。但当时患者已经发展成了肺动脉高压,手术的话风险很大,不手术的话,眼看患者就要撑不下去。看着患者求生的眼神,权晓强主任医师决定发挥医院多学科优势,充分利用自己留学回国的经验积累,做好术前相关准备,拼尽全力把手术做好,为患者争取一线生机。
李先生的病情也牵涉到心外三病区所有医护人员的心,在谢周良主任支持下,召集心外科、心内科、麻醉科、体外循环、监护室、手术室等科室进行多学科病例讨论综合判断后,专家们认为具备手术条件。
由于患者左心房巨大,要对其进行折叠术,而进行折叠术既要考虑到正常左心房的原始形态,又要保证折叠术后左心房的正常功能,所以本例折叠手术难度非常之大。手术中,权晓强主任医师、赵健副主任医师、张磊磊主治医师等专家仔细观察左心房结构,小心翼翼地对其进行“折扇式”折叠。

手术过程可谓步步惊心!患者左房巨大,钙化严重,像蛋壳一样又薄、又硬、又脆,稍有不慎就可能导致心脏破裂。经过一个多小时的“刀尖上行走”,患者心房容积缩小了近五分之三。就这样,专家们一鼓作气,为患者顺利实施了二尖瓣机械瓣膜置换+三尖瓣成形+心房折叠+心外膜电极植入”术。
术后,患者被护送到成人心脏外科监护室。在孟树萍副主任等医护人员的精心呵护下,患者先后战胜了肺部感染、肝功能异常、凝血功能障碍等险关,并转回普通病房,近日已痊愈出院,精神焕发地回归正常生活。
权晓强主任医师介绍,心脏瓣膜是连接心房和心室之间的“门”,门如果打不开或者关不严,会影响心房与心室之间的血液流动,导致心房或心室淤积大量血液,长期“交通拥堵”,必然出现心房或心室变大。这位患者早几年前就查出患有瓣膜病,但他惧怕手术风险,选择了保守治疗,未及时接受手术,措施了最佳手术时机,最终导致“巨心”的严重后果。瓣膜病的早期可以没有任何症状,但一旦心脏结构改变,保守治疗将难以发挥作用。如果发现瓣膜病,并且有手术的适应症,就要对瓣膜进行修复或者更换。现在这位患者左心房严重扩大,已经压迫了临近肺组织和食管,而且并发了房颤,处理起来相当棘手。除了瓣膜病,可以引起心脏增大的原因还有很多,例如:长年高血压、糖尿病、房颤、甲亢性心脏病等。心脏增大是临床非常常见的病症,很多人听说心脏变大就很恐慌。心理上有压力是人的正常反应,但一定要冷静下来,相信医学,配合医生检查,在目前医疗手段能达到的情况下,尽量明确病因,做到早发现、早治疗,早康复。
医者仁心,科研之路永无止境。阜外华中心血管病医院心外科主任医师权晓强与他的专家团队用精湛的医技,又一次挽救了患者的生命 ,他们的钻研和担当让人动容。(本报全媒体记者 余世春 通讯员/邢永田)
专家档案:

权晓强
权晓强,主任医师,医学博士。成人心脏外科三病区。现任中华医学会河南省心脏大血管外科分会委员,首届中国医师协会河南省心脏大血管分会青委会组长。1997年毕业于中南大学湘雅医学院临床医学系。2007-2008年于中国医学科学院心血管病研究所阜外心血管医院进修。2012年赴德国卡尔斯鲁厄研修,主要学习微创二尖瓣成形及经皮主动脉瓣置换术(TAVI)。2014年获中华医学会新秀奖并获Dr.Lillehei奖学金。2015年至美国克利夫兰医学中心心血管外科及印第安纳大学附属医院心肺移植组研修。回国后2016年独立主刀完成国内首例机械辅助Impella5.0左心室辅助技术。从事心血管外科临床、科研、教学工作20余年,主要从事冠心病、瓣膜病、各种先天性心脏病、大动脉炎和主动脉疾病的诊断治疗。

